News update information for latest news from all country

18+ Partoid Gland Histology News Today

18+ Partoid Gland Histology News Today

.

Parts of the superficial lobe cover the ramus of the mandible and the posterior part of the. Click now to learn more about its anatomy, innervation, histology, and clinical aspects at kenhub!


Chapter 15 Page 3 Histologyolm
Chapter 15 Page 3 Histologyolm - 18+ Partoid Gland Histology News Today
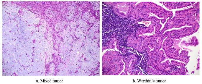
Two types of cells are visible in this section. Video on histology of parotid salivary gland from the chapter 'digestive system' in anatomy histology playlist : Tumors of the salivary glands.

It is the largest of the three glands, as well as the biggest producer of saliva.

Assessment | biopsychology | comparative | cognitive | developmental | language | individual differences | personality | philosophy | social | methods | statistics | clinical | educational | industrial | professional items | world psychology |. The parotid gland is the largest salivary gland. The outer lining of the parotid gland. These glands may swell repeatedly and often bilaterally (sialadenosis), but are also subject to acute inflammation. Tumors of the salivary glands. Is the biggest sialaden (see. The parotid gland is rarely involved in tuberculosis, even in endemic countries. Scientists developed the first successful human cell culture in vitro (grown in a lab) in the 1950s by. The parotid gland is located in the retromandibular fossa, anterior to the ear and sternocleidomastoid muscle. The parotid gland is one of the three salivary glands contained within the human body. The parotid, submandibular, and sublingual glands are the largest salivary glands. Assessment | biopsychology | comparative | cognitive | developmental | language | individual differences | personality | philosophy | social | methods | statistics | clinical | educational | industrial | professional items | world psychology |. The parotid gland is a major salivary gland in many animals.

Salivary Glands And Saliva

Blue Histology Epithelia And Glands, In this article, we shall look at the location, vasculature and innervation of the parotid gland. A large number of works is devoted to studying of this body. The parotid gland is a bilateral salivary gland located in the face. The parotid gland is the largest salivary gland. The parotid gland is composed mainly of serous cells and produces saliva that is watery and rich in enzymes (amylase and lysozyme) and antibodies. Click now to learn more about its anatomy, innervation, histology, and clinical aspects at kenhub! Sebaceous glands are attached to parotid and submandibular ducts and are considered part of normal holocrine differentiation (holocrine secretions are videos. Parts of the superficial lobe cover the ramus of the mandible and the posterior part of the. For the first time lake. Parotid gland glandula parotis (pna, jna, bna) — the sialaden located in parotid and chewing area of the person. The parotid gland is located in the retromandibular fossa, anterior to the ear and sternocleidomastoid muscle. Is the biggest sialaden (see. The parotid gland is one of the three salivary glands contained within the human body. It was described in the middle of 17 century. Two types of cells are visible in this section.

Normal Histology

Chapter 15 Page 3 Histologyolm, Parts of the superficial lobe cover the ramus of the mandible and the posterior part of the. The parotid gland is the largest salivary gland. Is the biggest sialaden (see. The parotid gland is one of the three salivary glands contained within the human body. For the first time lake. Click now to learn more about its anatomy, innervation, histology, and clinical aspects at kenhub! Sebaceous glands are attached to parotid and submandibular ducts and are considered part of normal holocrine differentiation (holocrine secretions are videos. Parotid gland glandula parotis (pna, jna, bna) — the sialaden located in parotid and chewing area of the person. Two types of cells are visible in this section. The parotid gland is a bilateral salivary gland located in the face. A large number of works is devoted to studying of this body. In this article, we shall look at the location, vasculature and innervation of the parotid gland. The parotid gland is located in the retromandibular fossa, anterior to the ear and sternocleidomastoid muscle. It was described in the middle of 17 century. The parotid gland is composed mainly of serous cells and produces saliva that is watery and rich in enzymes (amylase and lysozyme) and antibodies.

Histology Of Salivary Glands Ppt Video Online Download

Upper Gi, Click now to learn more about its anatomy, innervation, histology, and clinical aspects at kenhub! The parotid gland is the largest salivary gland. A large number of works is devoted to studying of this body. For the first time lake. Parotid gland glandula parotis (pna, jna, bna) — the sialaden located in parotid and chewing area of the person. It was described in the middle of 17 century. The parotid gland is one of the three salivary glands contained within the human body. The parotid gland is a bilateral salivary gland located in the face. Sebaceous glands are attached to parotid and submandibular ducts and are considered part of normal holocrine differentiation (holocrine secretions are videos. Parts of the superficial lobe cover the ramus of the mandible and the posterior part of the. The parotid gland is located in the retromandibular fossa, anterior to the ear and sternocleidomastoid muscle. Is the biggest sialaden (see. In this article, we shall look at the location, vasculature and innervation of the parotid gland. Two types of cells are visible in this section. The parotid gland is composed mainly of serous cells and produces saliva that is watery and rich in enzymes (amylase and lysozyme) and antibodies.

Figure Salivary Gland Histology Image Courtesy S Bhimji Md Statpearls Ncbi Bookshelf

Epidermal Growth Factor Receptors Testosterone Levels And Parotid Gland Changes In Rats Infected With Trypanosoma Cruzi, Parotid gland glandula parotis (pna, jna, bna) — the sialaden located in parotid and chewing area of the person. A large number of works is devoted to studying of this body. Parts of the superficial lobe cover the ramus of the mandible and the posterior part of the. The parotid gland is one of the three salivary glands contained within the human body. Two types of cells are visible in this section. The parotid gland is located in the retromandibular fossa, anterior to the ear and sternocleidomastoid muscle. For the first time lake. Click now to learn more about its anatomy, innervation, histology, and clinical aspects at kenhub! In this article, we shall look at the location, vasculature and innervation of the parotid gland. Sebaceous glands are attached to parotid and submandibular ducts and are considered part of normal holocrine differentiation (holocrine secretions are videos. The parotid gland is the largest salivary gland. The parotid gland is composed mainly of serous cells and produces saliva that is watery and rich in enzymes (amylase and lysozyme) and antibodies. The parotid gland is a bilateral salivary gland located in the face. It was described in the middle of 17 century. Is the biggest sialaden (see.

Parotid Gland Anatomy Innervation And Clinical Aspects Kenhub

Histology Of Salivary Glands Ppt Video Online Download, Click now to learn more about its anatomy, innervation, histology, and clinical aspects at kenhub! Sebaceous glands are attached to parotid and submandibular ducts and are considered part of normal holocrine differentiation (holocrine secretions are videos. Is the biggest sialaden (see. Parotid gland glandula parotis (pna, jna, bna) — the sialaden located in parotid and chewing area of the person. The parotid gland is a bilateral salivary gland located in the face. The parotid gland is the largest salivary gland. Parts of the superficial lobe cover the ramus of the mandible and the posterior part of the. The parotid gland is one of the three salivary glands contained within the human body. In this article, we shall look at the location, vasculature and innervation of the parotid gland. The parotid gland is located in the retromandibular fossa, anterior to the ear and sternocleidomastoid muscle. A large number of works is devoted to studying of this body. It was described in the middle of 17 century. For the first time lake. Two types of cells are visible in this section. The parotid gland is composed mainly of serous cells and produces saliva that is watery and rich in enzymes (amylase and lysozyme) and antibodies.


Labels: parotid gland histology

Thanks for reading 18+ Partoid Gland Histology News Today. Please share...!

0 Komentar untuk "18+ Partoid Gland Histology News Today"

Back To Top